HOSPETAL By PRS Center ดูแลโดยสัตวแพทย์ที่มีประสบการณ์ด้านรังสีวินิจฉัย ตรวจวินิจฉัยความผิดปกติต่างๆ ของร่างกายสุนัขและแมว
ด้วยเครื่องเอกซเรย์ (x-ray) และอัลตราซาวด์ (Ultrasound)

เอกซเรย์ (X-Ray) และอัลตราซาวด์ (Ultrasound) มักถูกนำมาใช้ร่วมกันในการตรวจวินิจฉัยโรค พยากรณ์โรคและติดตามผลการรักษา
เนื่องจากเป็นเทคนิคที่ทำได้ไม่ยาก กินเวลาไม่นาน ค่าใช้จ่ายคุ้มค่ากับประโยชน์ที่ได้ช่วยตอบข้อสงสัย และหาสาเหตุของโรคได้อย่างถูกต้อง และทันเวลา
จึงเป็นที่นิยมใช้กันอย่างแพร่หลายในวงการสัตวแพทย์บ้านเรา
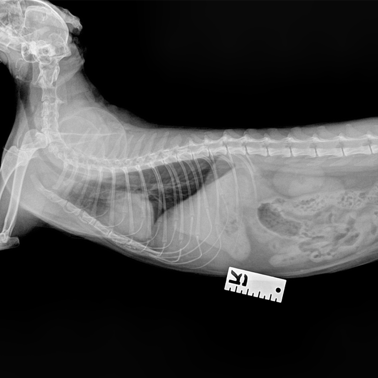
การตรวจเอกซ์เรย์ (X-Ray) เป็นการตรวจวินิจฉัยด้วยรังสี x โดยภาพที่ได้จะมีสีขาว - ดำ
ที่มีระดับความเข้มของสีที่แตกต่างกันขึ้นกับการดูดกลืนรังสีของแต่ละอวัยวะ
ตำแหน่งในการเอ็กเรย์ถูกแบ่งออกเป็น 3 ระบบหลักๆ คือ
การถ่ายภาพเอกซเรย์ (X-ray) ให้กับสัตว์ป่วย โดยทั่วไปไม่จำเป็นต้องเตรียมตัวพิเศษนัก ยกเว้นในบางกรณี เช่น การถ่ายภาพเอกซเรย์ข้อสะโพกที่สัตว์อาจเกิดความเจ็บปวด
นอกจากนั้นในกรณีที่ต้องการถ่ายภาพเอกซเรย์ (X-ray) ด้วย เทคนิคพิเศษโดยการกินสารทึบรังสีเพื่อตรวจวินิจฉัยความผิดปกติของระบบทางเดินอาหาร ไม่ว่าจะเป็นทางเดินอาหารส่วนต้นหรือส่วนปลาย ควรที่จะเตรียมตัวสัตว์โดยการงดน้ำ และอาหาร เพื่อลดปริมาณกากอาหารที่อาจไปขัดขวางทางผ่านของสารทึบรังสีที่ให้
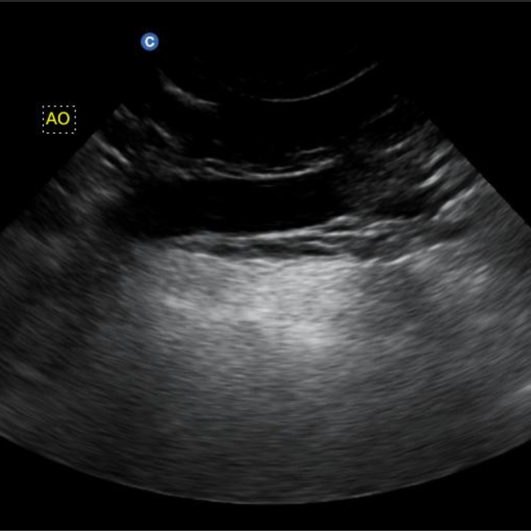
การตรวจอัลตราซาวด์ (Ultrasound) เป็นการตรวจโดยใช้คลื่นความถี่สูงเกินระดับที่หูของคนเราจะได้ยิน การตรวจนี้ค่อนข้างเป็นที่นิยมและใช้กันอย่างกว้างขวาง
สามารถตรวจอวัยวะภายในได้หลายอวัยวะ เช่น หัวใจ หรือ ที่เรียกว่า เอคโคหัวใจ(Echocardiogram) รวมถึงดูอวัยวะในช่องท้องต่างๆ ตับ ม้าม ไต ถุงน้ำดี มดลูก กระเพาะปัสสาวะ รวมไปถึงการดูตัวอ่อนในครรภ์อีกด้วย
สำหรับการตรวจอัลตราชาวด์ช่องท้องของสัตว์ ควรมีการเตรียมตัวสุนัขและแมว โดยงดอาหารที่มีกาก และสวนอุจจาระก่อนการตรวจ 8 ชั่วโมง
เพื่อลดปริมาณกากอาหารที่อาจรบกวนหรือบังคลื่นเสียงขณะตรวจ
หมายเหตุ : ทั้งนี้การอัลตราซาวด์ไม่จำเป็นต้องงดก่อนการตรวจ